fbpx

Whatsapp

Klinik Gigi Jujur dan Transparan

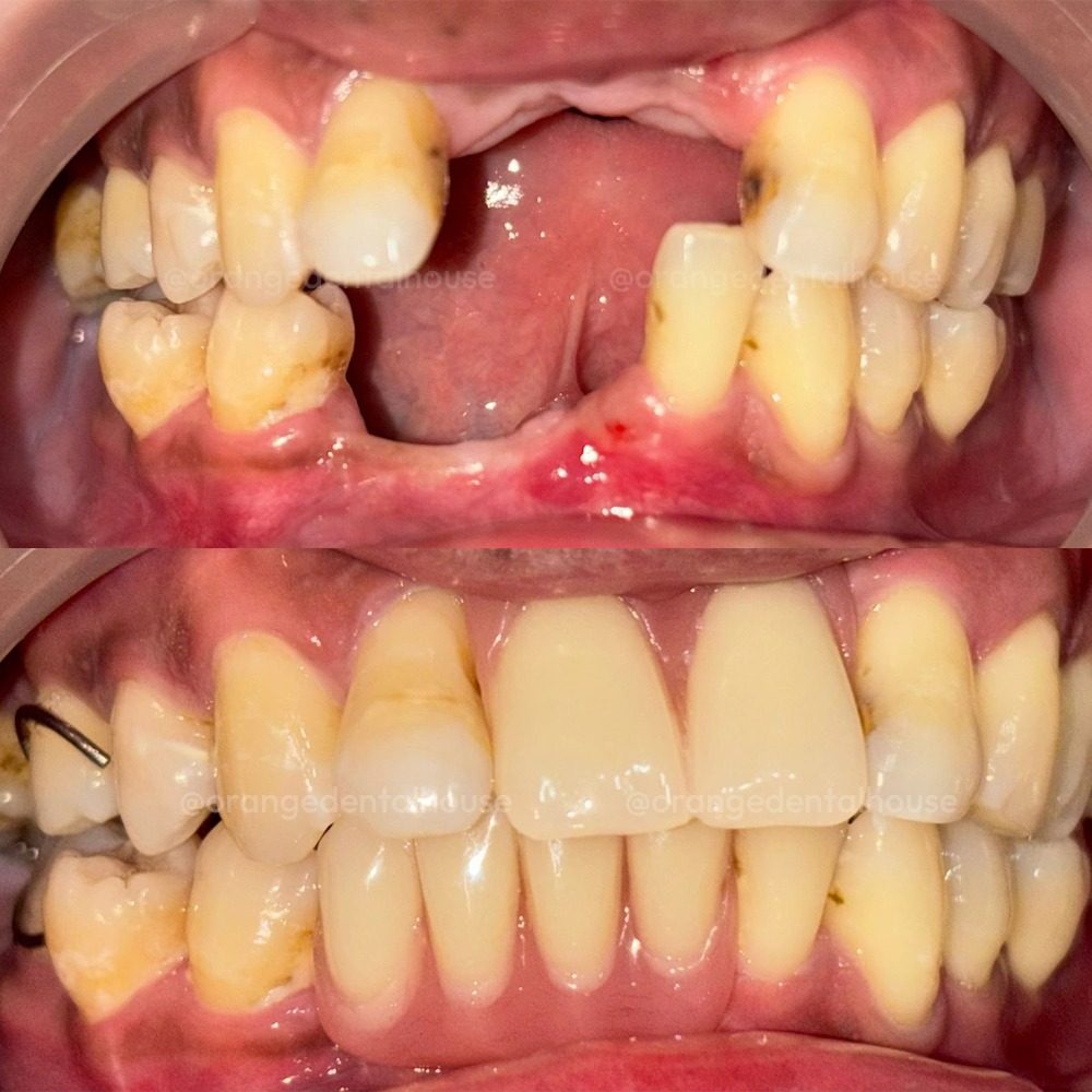
SMILE MAKE OVER (Gigi Palsu)

12
34
56
78
910
Gigi Palsu10
1112
GIPal

TESTIMONIAL

Newsletter

Daftarkan email anda untuk selalu update promo serta berita tentang Orang Dental